野生型トランスサイレチン心アミロイドーシス患者の骨格筋障害
~野生型トランスサイレチンアミロイドが沈着した内腹斜筋は肥厚する~
研究成果のポイント
- ピロリン酸シンチグラフィ施行時のCT写真を用いて計測した内腹斜筋厚は野生型トランスサイレチン心アミロイドーシス患者群で非患者群より大きい。
- 野生型トランスサイレチン心アミロイドーシス患者群における内腹斜筋生検組織の病理学的検討により骨格筋障害を確認した。
研究概要
野生型トランスサイレチンアミロイドーシス患者では野生型トランスサイレチンアミロイド(アミロイド)が沈着しやすい心筋や腱・靭帯などの臓器・組織障害を起こしますが、これまで骨格筋障害の有無を検討した報告はほとんどありませんでした。今回の研究でアミロイドが沈着することにより野生型トランスサイレチン心アミロイドーシス患者の内腹斜筋が肥厚しているのを確認しました。一部の症例では生検により採取した内腹斜筋を病理組織学的に調べ、骨格筋障害の存在を証明することができました。
キーワード
①心不全
②生検
③内腹斜筋
④ピロリン酸シンチグラフィ
⑤野生型トランスサイレチン心アミロイドーシス
【はじめに】
野生型トランスサイレチンアミロイドーシスは原因不明の難治性疾患で、厚生労働省から難病指定されている高齢者の全身性疾患です。トランスサイレチンは主に肝臓で産生されて血液の中に入り、甲状腺ホルモンやビタミンAの輸送を担っているタンパク質です。タンパク質は、正常の構造をしていないと不要と判断されて適切に処理されますが、加齢により正常構造をしていないトランスサイレチンが増え、しかもそれをうまく処理できなくなったことにより血液に溶けにくい野生型トランスサイレチンアミロイド(アミロイド)に形を変え、種々の臓器に沈着して野生型トランスサイレチンアミロイドーシスを発症するとされています。アミロイドは心臓や肺、靭帯、腱鞘などに沈着しやすく、沈着したアミロイドが正常の臓器・組織を圧迫し(全体的に肥厚します)、全体的に肥厚して沈着部位の機能障害を起こします。特に生活の質や生命予後に大きく関係する臓器は心臓で、不整脈や進行性の難治性心不全を主症状とする「心」アミロイドーシスと呼ばれています。これまで稀な疾患と考えられていましたが、報告例がどんどん増えています。その要因として、特別な治療薬がなかったのですが、2019年から疾患修飾薬が処方可能になったこと、非侵襲的な検査であるピロリン酸などのトレーサーを用いたシンチグラフィによりアミロイドの沈着を容易に疑えるようになったことが挙げられます。しかしながら、確定診断には生検により採取した組織を用い、病理学的にアミロイドの沈着を証明する必要があります。アミロイドの沈着量、採取可能な組織量、検査の侵襲度を考慮し、腹壁皮下脂肪、消化管、心筋などから生検することが一般的です。私どもは、野生型トランスサイレチン心アミロイドーシスを対象としたこれまでの研究で、順次①ピロリン酸シンチグラフィのトレーサー集積度がアミロイド沈着量と相関すること、②内腹斜筋などの骨格筋へのトレーサー集積率が高いこと、③CTガイドに内腹斜筋を生検すると大きな合併症なく高率にアミロイド沈着を確認できることを見出し、論文報告しました。
【方法と結果】
今回の研究は後方視的に行われました。研究の対象は2020年5月から2025年2月の間に市立八幡浜総合病院で心アミロイドーシスが疑われ、ピロリン酸シンチグラフィが行われた202名の患者で(平均年齢85歳;男性55.8%)、その内訳は野生型トランスサイレチン心アミロイドーシス患者(ATTR-CA)群69名(平均年齢87歳、うち男性66.7%)、野生型トランスサイレチン心アミロイドーシス以外の疾患患者(non-ATTR-CA)群133名(平均年齢85歳、うち男性51.1%)です。ピロリン酸シンチグラフィ施行時に必ず撮影するCT写真を用いて最大の内腹斜筋厚を計測したところ(図1)、ATTR-CA群の男性、non-ATTR-CA群の男性はそれぞれ平均14.4mm、12.1mm、ATTR-CA群の女性、non-ATTR-CA群の女性はそれぞれ平均12.9mm、10.2mmであり、男女とも有意にATTR-CA群がnon-ATTR-CA群より大きいという結果が得られました(図2)。ATTR-CA群69名のうち32名にCTガイド下内腹斜筋生検を施行し、アミロイド沈着を確認することができた29名(生検陽性率90.6%)の病理組織を顕微鏡で観察した結果、主なアミロイド沈着部位は筋細胞間の結合組織(100%)、筋細胞周囲(79.3%)でした。一方、血管周囲への沈着は僅かであり、筋細胞のダメージはほとんど確認できませんでした(図3)。アミロイド筋障害はアミロイドの骨格筋内結合組織への沈着と定義されますので、検査した全例において内腹斜筋のアミロイド筋障害を有していると判断しました。カルテ上、内腹斜筋の自覚症状(だるさや痛みなど)を訴えるものは皆無でした。
【考察】
内腹斜筋は、いわゆる“横っ腹”の筋肉の一つで、特に「胴体の固定」と「胴体を捻る動作」に関わる骨格筋です。なぜここにアミロイドが溜まりやすいかという正確な理由は不明ですが、このアミロイドは体の中で特に負担の掛かる部位(心臓や手首の靭帯など)に溜まりやすいと言われており、それと同じ理由ではないかと推察しています。しかしながら、アミロイド沈着によって生じる心アミロイドーシスや手根管症候群などと異なり、今回の後方視的研究では内腹斜筋障害と自覚症状との関係を明らかにすることはできませんでした。実際、病理組織学的検査で筋細胞周囲のアミロイド沈着による筋細胞のダメージは認められず、血管周囲への沈着による虚血性変化も確認できなかったことから、アミロイド筋障害は“サイレント”な可能性があります。高齢者の側腹部の筋肉は若年者と比べて粗な印象がありますので(図1パネルA、パネルB)、アミロイド沈着により肥厚が生じても強い症状は出ないのかもしれません。一方、アミロイド自体が細胞毒性を有すると考えられており、体幹の不安定性による転倒などの高齢者に多いイベントとの関連性が疑われます。今後、前方視的研究を行う予定です。
図表等
画像1:ピロリン酸シンチグラフィにおける骨格筋へのトレーサー集積とCT写真を用いた内腹斜筋厚の測定方法
著作権:雑誌発行元(Taylor & Francis)
ピロリン酸シンチグラフィ施行時に必ず撮影するCT写真(水平断)を用い、内腹斜筋の最も分厚い部位を左右別々に計測し、その平均を患者の内腹斜筋厚と定義しました。この症例は83歳男性の野生型トランスサイレチン心アミロイドーシス患者で、右側(パネルA)、左側(パネルB)の内腹斜筋厚はそれぞれ23.44mm、22.16mm、平均22.80mmとなります。パネルA’、 パネルB’はそれぞれパネルA、パネルBと同じ高さのピロリン酸シンチグラフィ像で、図の最も右側にあるレインボーカラーの黄緑より上の色を示す部位がトレーサー集積陽性(野生型トランスサイレチンアミロイド沈着が疑われる部位)と判定します。なお、パネルA、Bの星印、茶色矢印、橙色矢印、黄色矢印はそれぞれ内腹斜筋、腹直筋、外腹斜筋、腹横筋を示します。また、パネルA’、B’の赤色矢尻、茶色矢尻、橙色矢尻、黄色矢尻、水色矢尻はそれぞれ内腹斜筋、腹直筋、外腹斜筋、腹横筋、脊柱起立筋へのトレーサー集積を示します。ただし、ピロリン酸は元来骨病変を検出するために用いるトレーサーですので、骨盤や椎骨への集積は異常ではありません。
画像2:群別、男女別の内腹斜筋厚の比較
著作権:雑誌発行元(Taylor & Francis)
野生型トランスサイレチン心アミロイドーシス患者(ATTR-CA)群の男性、野生型トランスサイレチン心アミロイドーシス以外の疾患患者(non-ATTR-CA)群の男性の内腹斜筋厚はそれぞれ平均14.4mm、12.1mm(p < 0.001)、ATTR-CA群の女性、non-ATTR-CA群の女性ではそれぞれ平均12.9mm、10.2mm(p < 0.001)であり、男女とも有意にATTR-CA群がnon-ATTR-CA群より大きいという結果でした。
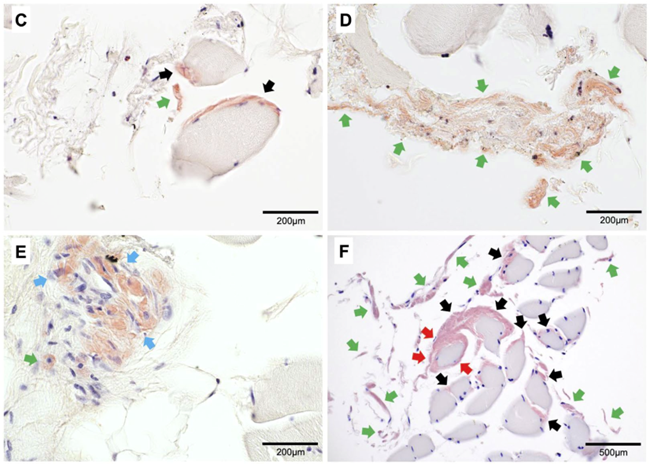
画像3:野生型トランスサイレチン心アミロイドーシス患者におけるコア針を用いたCTガイド下内腹斜筋生検組織の光学顕微鏡写真
著作権:雑誌発行元(Taylor & Francis)
パネルC、D、Eは80歳、男性例、パネルFは88歳、女性例。アミロイド染色用のDirect Fast Scarletを用いて染色しており、橙色から桃色を呈した部分がアミロイドを示します。緑色矢印、黒色矢印、青色矢印はそれぞれ筋細胞間の結合組織、筋細胞周囲、血管周囲に沈着したアミロイドを示し、筋細胞の全周を取り囲むように沈着しているアミロイドも確認できます(赤色矢印)。パネルC、D、E、パネルFの右下の黒い横線はそれぞれ長さ200μm、500μmを示します。
参考URL
Amyloid. 2025 Oct 11:1-4. doi: 10.1080/13506129.2025.2564897. Online ahead of print.
論文情報
Amyloid myopathy in the internal oblique muscle of patients with wild-type transthyretin cardiac amyloidosis.
Koji Takahashi, Takaaki Iwamura, Yoshiyasu Hiratsuka, Shuhei Yamamoto, Daisuke Sasaki, Sohei Kitazawa, Nobuhisa Yamamura, Mitsuharu Ueda, Hiroe Morioka, Shigeki Uemura, Tomoki Sakaue, Katsuji Inoue.
Amyloid. 2025 Oct 11:1-4. doi: 10.1080/13506129.2025.2564897. Online ahead of print.
問い合わせ先
氏名:髙橋 光司
電話:0894-24-5127
E-mail:michitokitatsumasa@gmail.com
所属・役職:地域救急医療学講座 研究員
サイトマップ >
お問い合わせ >
English >









