テゼペルマブ投与中に発症した好酸球性多発血管炎性肉芽腫症の一例
研究成果のポイント
- 重症喘息の治療薬である抗TSLP抗体テゼペルマブの投与中に好酸球性多発血管炎性肉芽腫症(EGPA)を発症した初の症例報告である 。
研究概要
近年、2型炎症を対象とする様々な分子標的療法が難治性喘息や慢性副鼻腔炎に使用されるようになっているが、それらの投与下でもEGPAの新規発症例が報告されている。しかし、2型炎症の上流に位置するアラーミンの一種である胸腺間質性リンパ球新生因子(TSLP)を標的とするテゼペルマブ使用下でのEGPA発症の報告は今までなかった。TSLP分泌を増加させるTSLP遺伝子多型がEGPAの発症リスクと関連することが報告されており、活動期EGPA患者において血清TSLP値が上昇することから、TSLPがEGPAの病態形成に関与することが示唆される。現在、テゼペルマブの活動性非重症EGPAに対する第Ⅱb相試験も進行中である。
本論文では、難治性の重症喘息に対してテゼペルマブを投与中にEGPAを発症した52歳女性の症例を報告する。テゼペルマブにより喘息症状は劇的に改善した一方で、EGPAの発症や末梢血好酸球増多は抑制できなかったことから、TSLP以外のアラーミンやサイトカインを介した複雑な2型炎症誘導機構に加え、ANCA産生に伴う好中球の異常活性化を特徴とするANCA関連血管炎の主病態が制御されなければ、EGPAの発症抑制は困難である可能性が示唆された。
キーワード
①好酸球性多発血管炎性肉芽腫症
②気管支喘息
③抗胸腺間質性リンパ球新生因子
④テゼペルマブ
⑤リツキシマブ
EGPAは好酸球浸潤を伴う中小型血管の壊死性血管炎で、気管支喘息や慢性副鼻腔炎が先行し、数年を経て好酸球増多を伴い血管炎を発症するという経過を特徴とする。近年、IL-5、IL-4/13、IgEを標的とした重症喘息に対する生物学的製剤治療中にEGPAを新規発症する症例が報告されており、単一のサイトカイン阻害による血管炎の発症抑制の限界が示唆される。しかし、抗TSLP抗体であるテゼペルマブ使用下でのEGPA発症の報告は今までなかった。本稿ではテゼペルマブ投与中にEGPAを発症した初の症例を提示する。
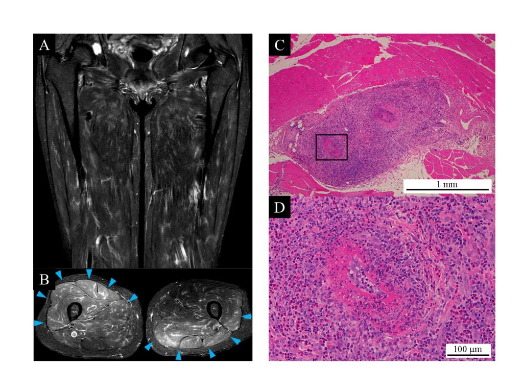
症例は52歳の日本人女性で、5年前から難治性喘息で治療中であった。テゼペルマブにより喘息コントロールは著明に改善し、長年必要としていた経口グルココルチコイド(GC)の中止が可能となったが、末梢血好酸球増多は持続していた。GC中止から1か月後、発熱と下腿筋痛、左網膜中心動脈閉塞症が出現し、ANCA陽性EGPAと診断した。高用量GC、シクロホスファミド、メポリズマブ(抗IL-5抗体)による治療に抵抗性であったが、リツキシマブ(抗CD20抗体)導入により寛解に至った。
本症例の経過から2つの知見が得られた。第一に、TSLP阻害下でもEGPAを発症したことから、病態形成にTSLP以外のIL-33やIL-25などの他のアラーミンやサイトカインを介した複雑な2型炎症経路の関与が示唆された。第二に、リツキシマブが著効したことから、B細胞媒介性自己免疫機序が血管炎病態のドライバーとなっていることが示唆された。
以上より、2型炎症を標的とする生物学的製剤により喘息が良好にコントロールされている症例においても、EGPAの発症には注意が必要である。EGPAの本質的な制御には、2型炎症誘導機構に加え、ANCA関連血管炎の主病態であるANCAを介した好中球の異常活性化の双方の抑制が重要である。
図表等
画像1:2型炎症の誘導機構と分子標的療法

画像2:本症例の大腿MRIおよび右大腿直筋病理像

参考URL
https://www.sciencedirect.com/science/article/pii/S1323893025001297
論文情報
Eosinophilic granulomatosis with polyangiitis diagnosed during tezepelumab treatment for severe asthma: A case report, Erika Horimoto, Jun Ishizaki, Kenta Horie, Daisuke Hiraoka, Takuya Matsumoto, Koichiro Suemori, Riko Kitazawa, Katsuto Takenaka, Allergology International, 2025.
https://doi.org/10.1016/j.alit.2025.11.009.
問い合わせ先
氏名:堀元 絵梨花
電話: 089-960-5296
E-mail:horimoto.erika.lb@ehime-u.ac.jp
所属・役職:第一内科(血液・免疫・感染症内科学) 医員
サイトマップ >
お問い合わせ >
English >






